'Lillie' Canine Ultrasound Phantom Training Kit
Notify me when back in stock
This kit is the perfect set of starter tools for anyone learning to hone the essential fine motor skills necessary for developing great abdominal ultrasound techniques. Essential. Ethical. Sustainable. High-quality veterinary ultrasound training.
‘Lillie’ contains the following anatomical tissue-mimicking structures:
- heart, ribs and lung,
- liver, gallbladder, spleen, pancreas,
- kidneys and adrenal glands, urinary bladder, stomach, duodenum, ileum, colon,
- aorta and caudal vena cava.
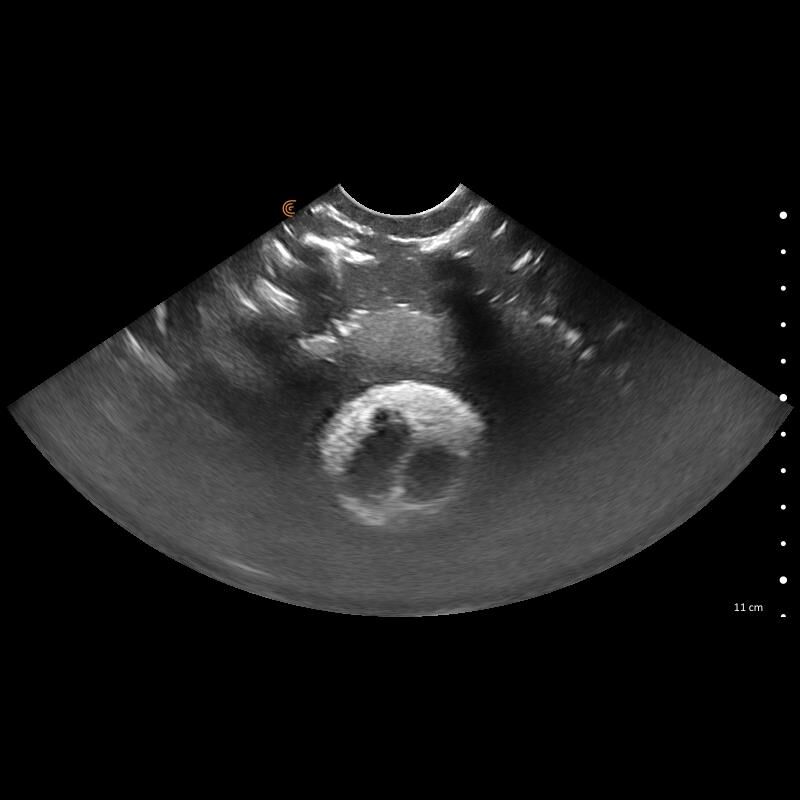
The ‘Skills’ phantom block contains the following:
- spiral structure
- anechoic tortuous ‘vessel’
- echogenic ring
- hyperechoic nodule with hypoechoic cavity; to identify and assess.
The ‘Renal FNA Phantom’ is designed for needling - enabling the safe practice of ultrasound-guided needle placement.
(VET4850)
| SKU | VET4850 |
| Brand | Erler Zimmer |
Be The First To Review This Product!
Help other Device Technologies Pty Ltd users shop smarter by writing reviews for products you have purchased.
















